Google
Facebook
Instagram
5109 Steeles Ave W #10, North York, ON M9L 2Y8, Canada
(647) 351-7860
Reservar ahora
Home
Nuestros servicios
Odontología general
Rayos X digitales
Odontología con sedación
Extracción de muelas del juicio
Terapia de conducto radicular
Guardias nocturnos
Odontología de emergencia
Odontología restauradora
Coronas y puentes
Implantes dentales
Dentadura postiza
Cosmetic Dentistry
Dental Fillings
Mercury-Free Dentistry
Porcelain Veneers
Teeth Whitening
Tooth-Coloured Dentistry
Preventative Care
Teeth Cleaning
Invisalign
Kid’s Dentistry
Children’s Dental
Children’s Orthodontics
Quienes Somos
Nuestro equipo
CDCP
Refugiados bienvenidos
Blog
Saturday Dentist
Nuestros casos
Home
Información para el paciente
Formulario del paciente
Contacto
Calificanos
10-5109 Steeles Ave W, North York, ON M9L 2Y8, Canada
(647) 351-7860
Book Appointment
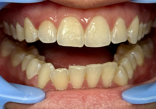
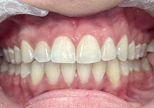
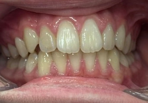
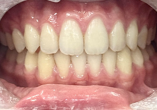
Nuestros casos
Invisalign
647-370-3893
Book Online